젊어지는치과의
통증 완화 시스템
치과치료! 아플까봐 미뤄오셨나요?
시니어 분들을 위한 수면치과치료는
치과치료에 대한 공포와 긴장, 통증을 해소하는데 효과적입니다.
수면치과치료는 수면 중에 편안한 상태에서 치료가
이루어지기 때문에,
시니어 환자분들께서는
치과치료에 대한 부담과 불안을 최소화하고
더욱 편안하게 치료를 받으실 수 있습니다.

임플란트! 아플까봐 미뤄오셨나요?
젊어지는치과의 실제 수면치과치료 모습
치과치료를 망설이시는 이유?
-
치과가 무서워요
주무시는 동안 치료가 진행되어
편안하고 안정된 마음으로 치과 치료를
받으실 수 있습니다. -
통증이 두려워요
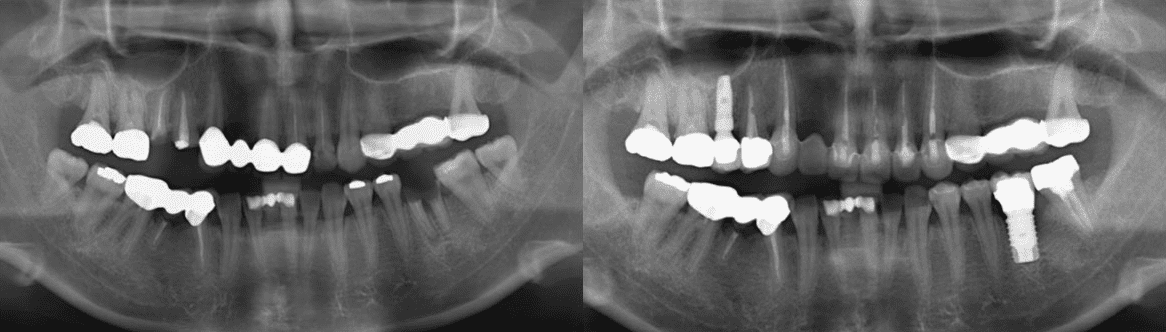
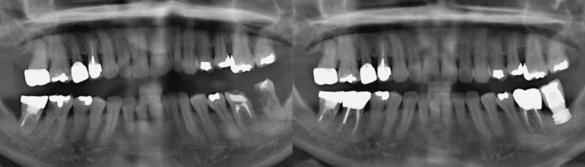
다양한 치료 전후
처치를 통해 통증과 붓기를
줄이도록 노력합니다. -
비용이 부담돼요
종합적인 치과 치료가 가능하기
때문에 치료 시간을 줄이는데
효과적입니다.
통증 걱정 줄인 편안한 치과치료
자세한 내용은 로그인 후
확인하실 수 있습니다.
치료 중 기억 망각의 효과
수면치료는 수면내시경 하듯 60% 정도에서
잠을 주무시며, 매우 진정된
상태에서 치료가 진행 됩니다.
간혹 수면치과치료 도중 의사와 대화가 가능한
경우도 있지만 기억망각 효과로 인해
이 대화는 기억하시지 못하는 경우가 많습니다.
-
향기요법
Aroma therapy
-
영상요법
Visual therapy
-
음악요법
Music therapy
-
색채요법
Color therapy
내원 횟수 단축과
양질의 의료서비스
한꺼번에 여러 가지 치료를 진행하여
내원 횟수를 줄일 수 있어 시니어 분들의
불편함을 최소화합니다.
이로써 의료진은 치료에
좀 더 집중할 수 있으며, 시니어 환자분들께
양질의 의료서비스를 제공하고 있습니다.


"이 모든 치료를
수면치과치료를 통해
편안하게 받으셨습니다."
젊어지는치과만의 수면치과치료 핵심기술
-
01수면치과치료 전담 의료진과 스탭
수면치과치료 경험이 의사와 진료 스탭이 상주하여
보다 편안한 진료 가능 -
02철저한 사전검사
안전한 수면치료를 위해 혈압, 혈당, 복용약 여부 등
철저한 사전검사 -
03실시간 모니터링 시스템
환자의 호흡, 혈압, 맥박 등 모든 전신 상태를
실시간으로 관리하여 안전한 진료 지향 -
04수면치과치료를 위한 독립 진료실
환자의 안정을 위해 넓은 독립 진료실에서
수면치과 치료 진행
수면 임플란트 치료대상
수면 임플란트로 시니어 분들에게
더욱 편안하고 건강한 미소를 찾아드립니다.
-
01
임플란트 수술에 대한
공포가 심하신 분 -
02
구역질이 심해 치과치료가
힘드신 분 -
03
한번 내원으로 많은 치과치료
받길 원하시는 분 -
04
턱관절이 좋지 않아
오랜시간 입을 벌리기 어려우신 분 -
05
지적, 발달 장애인 등
일반 치과치료를 받기 어려우신 분 -
06
치과 치료 과정 자체를
기억하고 싶지 않으신 분 -
07
치과 국소마취가
잘 안돼 고생하셨던 분 -
08
전신질환자, 노약자 등
긴 치료시간을 견딜 수 없는 분
수면치과치료 전후 주의사항
-
고혈압, 당뇨, 약물 알러지 등의 질환이 있는 경우 담당의사와 충분히 상의 후 치료 진행
-
회복실에서 충분한 휴식을 취하신 후 귀가
-
수면치료 후 가벼운 어지럼증이 있을 수 있으므로 보호자와 함께 귀가
-
자가운전 절대 금지
-
어떤 경우에 수면치과치료가 가능한가요?모든 치과치료에 있어서 가능합니다.
한꺼번에 많은 치아를 발치하고 여러개의
임플란트를 심는 경우부터 간단한 스케일링까지
통증이 걱정되고 두려우신 모든 경우에 있어
수면치과치료가 가능합니다. -
수면치과치료는 부작용이 없나요?수면치과치료는 전혀 어려운 치료방법이
아니며 일반 치과치료 시에 수면치료를 같이
진행하는 것입니다.
수면치료는 대학병원 등에서 간단한
내시경 검사 시에 많이 사용되고 있으며,
피부과에서 통증이 따르는 간단한 피부
치료 시에도 사용할만큼 보편화된 방법입니다.
적절한 장비만 갖추어져 있을 경우
안전성이 높은 치료 방법입니다. -
전신마취와는 무엇이 다른가요?전신마취는 말 그대로
본인의 의식이 없기 때문에
호흡도 본인이 유지할 수 없어 보조적인
호흡유지장치를 해야하는
등 많은 위험성이 따릅니다.
이에 반해 수면치과치료는
간단하게 주무시는 것만 도와드리는 것일 뿐
편안하게 주무시는 것과 똑같기 때문에
위험성이 줄어듭니다.
또한 간단한 길항제 투여만으로도
금세 잠에서 깨어나실 수 있습니다. -
정말 아픔을 느낄 수 없나요?편안하게 자는 것 자체가
통증을 잊게 할 수 있습니다.
저희 젊어지는치과에서 수면치료를 받으신 분들의 설문조사 결과 많은 분들께서
‘치료에 만족한다’라는 답변을 해주셨으며,
추후 치과치료에서도 수면치과치료를 통해
치료 받고 싶으시다는 말씀을 들을 수 있었습니다. -
수면치과치료는 어떻게 하는 것인가요?통증은 실제 아픔을 느끼는
진성 통증과 공포, 두려움,
놀람 등에 의한 가성 통증이 있습니다.
아무리 통증이 없도록 치과마취를 하셔도
치과치료에 대한 공포, 두려움
또는 치과치료 시에 나는 소리를
두려워 하신다면 겁이 많으신 분의 경우
실제 통증이 있다고 느끼실 수도 있습니다.
이에 저희 젊어지는치과에서는
수면치과치료를 도입하여 수면 상태에서
환자분이 치과치료를 인식하지 못하도록 하고
가능한 많은 치료를 할 수 있게 되었습니다.
이 수면치과치료는 실제 대학병원 등에서
내시경 검사 시에 쓰는 간단한 수면진정법으로
의학 계열에서는 너무도 간단한 방법입니다. -
수면치과치료는 말 그대로 잠들게 되는 것인가요?네, 그렇습니다.
수면치과치료란 수면상태에서 치과치료를
진행하는 것이며, 간혹 의사와
대화가 가능한 경우도 있습니다.
하지만 이 대화는 기억하시지 못하는
경우가 많으며 많은 분들이 치료 중에
잠에서 깨지 않을까 걱정하시는데
편안하게 주무실 수 있는 치료법 임을
말씀드리고 싶습니다. -
수면치과치료는
몸에 해롭지 않나요?수면치과치료에 대한 잘못된 정보로
‘머리가 나빠진다’,
“깨어나지 못한다‘
등의 말씀을 하시는 경우가 있으나
수면치과치료는 전신마취나 성형외과 등에서
하는 수면 수술과는 근본적으로 다른 방법입니다.
다만 기존에 심한 전신질환을 가지고 계신
분이라면 저희 치과에서 사전 검사와 상담을 통해
수면치과치료 여부를 결정하시는 것이 좋습니다.
고혈압, 당뇨 등의 전신질환이 있으신 분은
오히려 수면치과치료를 받으시는 것이
도움이 될 수 있습니다. -
수면치과치료 시간은
어느정도 되나요?경우에 따라 다르나 일반적으로
30분~1시간 반 정도 가능합니다.
겁이 많으신 분의 경우 수면치료 없이
진행하시면 치료 시간이 오래 걸리고
오실 때마다 치과마취를 하셔야 하는
단점이 있으나 수면치료는 가능한 많은 치료를
수면 상태에서 한꺼번에 치료하므로
내원횟수를 줄이고 치료도 잘 이루어 질 수 있습니다. -
수면치과치료는
모든 치과에서 가능한가요?불행히도 그렇지 않습니다.
수면치과치료는 아주 간단한 치료방식이지만
이를 위해서는 여러 가지 조건이 필요합니다.
첫째, 환자분의 안정을 위해 진료실이 넓고
독립적으로 이루어져야 합니다.
좁거나 다른 환자분들과 같이 사용하는
진료실에서는 수면치료가 어렵기 때문입니다.
둘째, 수면치료에 필요한 장비를 갖추어야 합니다.
모니터링 장비 등 여러 가지 수면치료에 필요한
장비 없이는 수면치과치료가 불가능합니다.
셋째, 수면치과치료에 많은 경험이 있는 의사와
진료스탭이 있어야 합니다.
수면치료에 많은 경험이 있는 의사 뿐 아니라
치과위생사 또한 수면치과치료에 많은 경험이
있어야만 보다 편안한 치과치료가 가능합니다.