컴퓨터 분석 임플란트란?
노화에 따른 구강 건강의 중요성이
커지는 시점에, 젊어지는치과는 컴퓨터 분석
임플란트로 더욱 안정적이고 효과적인
치료를 제공합니다.
특히 시니어 분들께서는
컴퓨터 분석을 통해 맞춤 수술 경로를 찾아
최상의 결과를 얻으실 수 있습니다.
이를 통해 걱정 없이 편안하고 신속하게
임플란트 수술을 받으실 수 있으며, 통증과
붓기가
최소화되어 체력적으로도 부담이
적은 치료가 될 것입니다.
저희와 함께하면
건강한 미소를 끝까지 유지하실 수 있습니다.

임플란트 번거롭다?
아프다? 불편하다?
"젊어지는치과 컴퓨터분석임플란트라면
걱정하지 마세요!"
임플란트 번거롭다고 생각하셨나요? 아프다,
불편하다고 우려하셨나요?
젊어지는치과는
임플란트에 대한 다양한 고민을 해소하기 위해
준비되었습니다.
이미 많은 시니어 분들께서
젊어지는치과를 찾아주시고 계십니다.
시니어분들의 편안한 임플란트 경험을 위해
최선을 다하겠습니다.
01
방문 횟수 감소,수술시간 단축으로
멀리 거주하시거나
바쁜 일상을 겪는
시니어분들도 편안하게
병원 내원을 최소화하며 치료 시간을 단축하는
것은 기본입니다.
특히 시니어 환자들을 위해
최신 치과 장비로 정확한 분석과 빠른 수술을
통해 더욱 편안하고 안전한
임플란트 치료를 제공합니다.
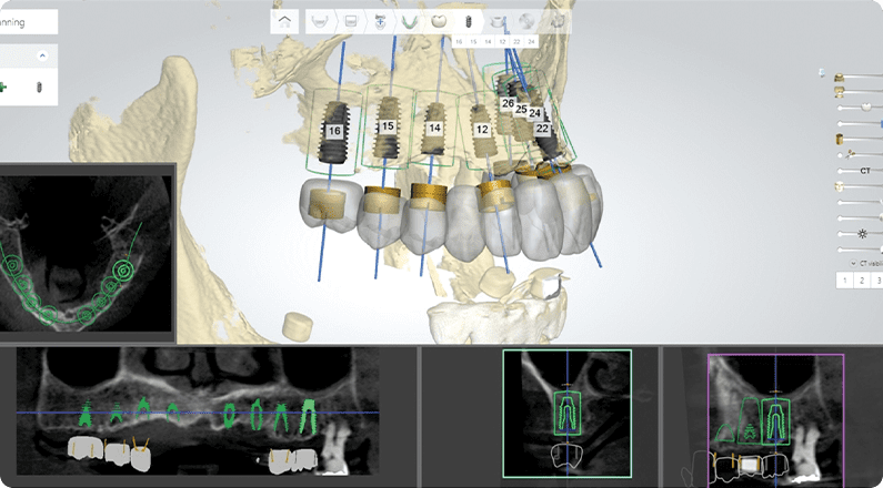
핵심기술 01
3D CT&디지털 치아 스캐너 정밀 진단-
일반 임플란트
(2D 파노라마)단면으로 치아 상태 및 신경위치를 확인하여
정확한 진단이 어려울 수 있습니다. -
컴퓨터 분석 임플란트
(3D CT)환자의 잇몸뼈와 턱뼈 상태를 3차원 입체 영상으로
정밀하게 진단하여 수술 오차를 줄입니다. -
일반 임플란트 고무 인상 채득
인상채로 인해 구역질을 유발하고 고무 소재
특성상 변형으로 인해 오차가 발생되기도 합니다. -
3D 입체스캐너
3차원 디지털 치아스캔 장비를 통해 빠른 시간 내에 편안하게
구강 내를 촬영하며, 구강 내 환경을 정확하게 재현해 냅니다.
핵심기술 02
3D CT&디지털 치아 스캐너 정밀 진단3D CT와 치아 스캐너의 데이터를 결합하여, 임플란트를 실제로 심었을 때 가장 이상적인 위치에 식립될 수 있도록 지향합니다.

핵심기술 03
3D CT&디지털 치아스캐너 정밀 진단
수술 가이드는 실질적으로 네비게이션
역할을 하는 장치로, 모의 수술 계획과
동일한 위치와 각도로 임플란트를
식립할 수 있게 됩니다.
미리 계획된
위치에 수술이 진행되기 때문에
수술 시간이 짧고
체력적으로도 부담이 적습니다.
02
잇몸 절개를 하지 않아, 통증이 적고 빠른 회복기존 절개 방식이 아닌 작은 구멍을 통한 임플란트 식립으로 통증이 경미하고 잇몸의 빠른 회복을 돕습니다.
-
절개시술
잇몸 절개로 붓기·출혈 발생
-
컴퓨터 분석
임플란트수술 당일 붓기·출혈이 거의 없는 모습
03
진료 시간이 짧고염증 발생을 줄이는
디지털 보철 시스템
젊어지는치과의 디지털 보철 시스템은
기존 보철물 시스템의 문제점을 보완하여
보철물이 장착되기까지의 시간을 월등히
줄인 간편한 시술로 환자에게 편안하고
만족감 높은 치료 결과를 선사합니다.
-
기존 임플란트 보철 시스템
- 잇몸 절개로 붓기·출혈 발생
- 잔여 시멘트(접착제)로 인한 잇몸 염증 및 구취 가능성
-
디지털 보철 시스템
- 보철물 적합 시 시간 단축
- 잔여 시멘트(접착제)를 사용하지 않아 구취 발생 확률 낮음
- 보다 건강한 잇몸 유지 가능
04
치과치료에 대한불안과 공포,
수면치과치료로
수면치과치료는 치료 중에 가수면 상태를
유지하여 시니어 환자분께 편안한 경험을 선사합니다.
수면 중에 주변 상황을 느끼지 않으므로
임플란트 수술을 훨씬 편안하게 받으실 수
있으며,
치과에 대한 불안과 공포를
극복하실 수 있습니다.
시니어 분들께 최적의 치료 경험을 제공하겠습니다.

임플란트 치료사례
풍부한 경험과 앞선 기술력의 차이
-
아플까봐 걱정돼요기존의 임플란트 수술의 경우 잇몸을 절개한 후
눈으로 직접 뼈 상태를 파악했기 때문에
시술 시간이 다소 오래 걸리며 경우에 따라
출혈이 심하거나 잇몸이 붓는 등 통증이 발생했습니다.
하지만 컴퓨터 분석 임플란트는 잇몸뼈 상태를
파악하기 위해 잇몸을 크게 절개할 필요가 없습니다.
수술 유도장치를 통해 작은 구멍을 낸 후
바로 임플란트를 심을 수 있어 출혈과 붓기,
통증이 적고 수술 후 빠른 회복을 기대할 수 있습니다.
뿐만 아니라 치료 자체를 두려워하시는 분들도
수면치과치료를 받으시게 되면 잠을 자는 것처럼
주위의 상황을 기억하지 못해 임플란트 수술을
편안하게 받을 수 있으며 치과치료에 대한 두려움을
해소할 수 있습니다. -
치료기간이 오래 걸릴 것 같아요컴퓨터 분석 임플란트는 수술 전 3차원 CT촬영과
가상수술을 통해 미리 설계된 위치에 임플란트를
식립하기 때문에 수술시간이 단축될 뿐만 아니라
잇몸 절개 범위를 줄여
출혈과 붓기, 실밥으로 인한 불편함 등
수술 후 나타날 수 있는 합병증을 줄일 수 있습니다. -
임플란트 부작용이 걱정돼요CT 촬영을 토대로 제작된 3차원 입체영상을 통해
환자의 치아는 물론 신경구조물에 대한 정밀한 진단이 가능하고
가상수술로 임플란트 식립 할 위치를 파악할 수 있어
부작용 및 신경손상에 대한 우려를 줄일 수 있습니다. -
당뇨병(전신질환)이 있는데 괜찮을까요?당뇨나 고혈압 등 전신질환이 있는 환자분의 경우
세균 감염, 출혈 쇼크, 치유 지연 등의 문제 때문에
임플란트 외에도 다른 외과적 시술을 할 때
제한이 많이 따랐습니다.
컴퓨터 분석 임플란트는 수술 유도장치를 제작해
사용하기 때문에 잇몸과 뼈 손상을 크게 줄일 수 있습니다.
붓기가 오래 가지 않고 상처 회복 속도가 빠르기 때문에
당뇨나 고혈압 등 전신질환이 있는 환자분들도
위험도를 줄이고 시술 받을 수 있습니다. -
임플란트 치료비용이 부담돼요컴퓨터 분석 임플란트는 3차원 CT 등
디지털 장비를 활용한 정밀검사 과정으로 골밀도가 높은
부위를 확인해 임플란트 시술을 진행하기 때문에
불필요한 뼈이식 수술을 피할 수 있습니다.
또한 체계적인 수술 계획을 통해
전략적 위치에 임플란트를 심게 되어
식립 개수를 줄일 수 있어 비용 절감에도 효과적입니다. -
내원횟수가 많아 질까봐 걱정돼요잇몸을 절개하지 않기 때문에 잇몸 절개로 인한
환자가 겪어야 하는 출혈과 붓기, 통증 등의 부담이 적습니다.
잇몸뼈 상태가 양호한 환자의 경우
미리 제작된 보철물을 바로 올릴 수 있어 내원횟수와
전체적인 치료기간을 단축시킬 수 있습니다.